Wednesday, November 28, 2012

Bothered by Negative, Unwanted Thoughts? Throwing Them Away Doesn't Help


That's my interpretation of a new paper in Psychological Science (Briñol et al., 2012), which differs from the more exciting description given in a press release from APS:

Bothered by Negative, Unwanted Thoughts? Just Throw Them Away

If you want to get rid of unwanted, negative thoughts, try just ripping them up and tossing them in the trash.

In a new study, researchers found that when people wrote down their thoughts on a piece of paper and then threw the paper away, they mentally discarded the thoughts as well...
. . .
Some types of psychological therapy use variations of this concept by trying to get patients to discard their negative thoughts. But [co-author Richard] Petty said this is the first study he is aware of that has validated that approach.

So which interpretation is correct? Let's take a look, then judge for yourself.

In Experiment 1, 83 high school students participated in a course designed to prevent eating disorders. They were randomly assigned to one of four conditions in a 2 × 2 factorial design: thought direction (positive vs. negative) × treatment ('thought disposal' vs. control). The students were told they were participating in a study on body image, and asked to write down either positive or negative thoughts about their bodies for 3 min. Then the students read what they had written, followed by instructions to contemplate their thoughts and then to either throw them in the trash ('thought disposal') or check for spelling errors (control). Finally, the participants were asked to rate their attitudes toward their bodies using three different 9-point scales.1

If throwing your negative thoughts away was beneficial, you'd predict a reduction in negative attitudes relative to the control condition (which would result in a higher score, reflecting more favorable attitudes). That is not what was observed, however. A comparison of the two white bars below reveals there was no treatment effect in the negative-thoughts condition.2 In other words, body image scores did not improve in the group that discarded their lists. In contrast, there was a decline in body image for the positive-thoughts group that threw their lists away, relative to those who spell-checked.


Fig. 1 (Briñol et al., 2012). Results from Experiment 1: participants’ mean rating of their attitudes toward their own bodies as a function of the type of treatment they received and the direction of their thoughts. 


Not surprisingly, the authors had an alternate interpretation that hinged on the difference produced by thought-direction in the non-discarding control groups:
Consistent with our hypothesis that a thought-disposal treatment can influence judgments by invalidating people’s thoughts, results showed that the attitudes of participants who physically threw their thoughts away showed less impact of the thought-direction induction than did the attitudes of participants who physically retained their thoughts. ... It is important to note that because the treatment was induced after thoughts were already generated, it could not affect the valence or the number of participants’ thoughts. Rather, the treatment decreased the strength of the influence that participants’ thoughts had on their attitudes.

...and this was because of lower scores in the positive condition, rather than higher scores in the negative condition (or both effects, for that matter). So unless you want to say there were baseline differences in body attitudes between the treatment groups (which is problematic), I'm not buying it.3


Footnotes

1 Scores were averaged across the three scales.

2 However, these two conditions were not statistically compared; I'm assuming that the difference between 5.6 and 5.4 was not significant. The Thought Direction × Treatment interaction was followed up only by pairwise comparisons between Thought Direction in the different Treatment groups.

3 Psychological Science...meet me at camera 3.


Reference  

Brinol, P., Gasco, M., Petty, R., & Horcajo, J. (2012). Treating Thoughts as Material Objects Can Increase or Decrease Their Impact on Evaluation. Psychological Science DOI: 10.1177/0956797612449176

Subscribe to Post Comments [Atom]

Sunday, November 25, 2012

Meet The Neuro Doubters



Meet the “neuro doubters.” The neuro doubter may like neuroscience but does not like what he or she considers its bastardization by glib, sometimes ill-informed, popularizers.

A gaggle of energetic and amusing, mostly anonymous, neuroscience bloggers — including Neurocritic, Neuroskeptic, Neurobonkers and Mind Hacks — now regularly point out the lapses and folly contained in mainstream neuroscientific discourse. This group, for example, slammed a recent Newsweek article in which a neurosurgeon claimed to have discovered that “heaven is real” after his cortex “shut down.” Such journalism, these critics contend, is “shoddy,” nothing more than “simplified pop.” Additionally, publications from The Guardian to the New Statesman have published pieces blasting popular neuroscience-dependent writers like Jonah Lehrer and Malcolm Gladwell. The Oxford neuropsychologist Dorothy Bishop’s scolding lecture on the science of bad neuroscience was an online sensation last summer.

from Neuroscience: Under Attack
By ALISSA QUART
Published: November 23, 2012

Thanks to author Alissa Quart for mentioning The Neurocritic in her New York Times Opinion piece, along Neuroskeptic, Neurobonkers, Mind Hacks, and Dorothy Bishop.1 Ms. Quart opens her salvo against bad neuroscience, and its misrepresentation in the popular press, with an easy target: Naomi Wolf and her Vagina: A New Biography. Several of the Neuro Doubters wrote popular, well-received posts that were critical of Ms. Wolf's grasp of neuroscience.2

Another specific target is Chris Mooney's book, The Republican Brain. I have not read this book (or any excerpts) and therefore cannot offer an opinion on it. However, the "Political Brain" has been the topic of flawed studies, bad press releases, and even an ill-conceived op-ed in a famous newspaper, so I'll use this as an example of the varieties of Neuro Doubt.

Flawed studies - One study concluded that Liberals Are Neurotic and Conservatives Are Antisocial, another that Conservatives Are Neurotic and Liberals Are Antisocial. OR perhaps Atheists Are Neurotic and Religious Zealots Are Antisocial.

Bad press releases - The title of this spoof press release says it all: New research provides fresh evidence that bogus press releases may depend largely on our biological make-up. This well-deserved parody covered an unpublished study on the purported differences between the brains of Democrats vs. Republicans. The timing? Right before Election Day. It was a university press office's attempt at positive publicity that backfired, in my view.

Ill-conceived op-eds (in the New York Times) - This is Your Brain on Politics presented the results of a neuroimaging study on swing voters in the Opinion Pages of the NYT (rather than in a professional journal).  A peer-review drubbing of sorts took place in a Letter to the Editor: Politics and the Brain.


The Seductive Allure of Neuroscience Explanations



One problem with the ubiquity of pop neuroscience is that pretty colorful pictures of brains can sway people to believe that some outlandish statement is true. This was shown by McCabe and Castel (2008) in "Seeing is believing: the effect of brain images on judgments of scientific reasoning." Another aptly-titled article, "The seductive allure of neuroscience explanations," provided verbal descriptions of brain scans to convince people that a bogus scientific argument was valid (Weisberg et al., 2008).


The Rise of Neurobollocks and Neuromania

It's actually very trendy these days to bash neuroscience. In fact it's so fashionable that I've considered starting a backlash against the backlash - The Neurocomplimenter (e.g., "That was a fantastic study! Good show!"). I am, after all, a working neuroscientist so I don't want to see my field go down in flames. But are we at risk for that? Is neuroscience really under attack? The most potent form of attack would be financial. I haven't noticed a specific decrease in federal funding for neuroscience; the downturn in the U.S. has affected research in general. What I have noticed is an increase in anti-neuroscientism punditry:
An intellectual pestilence is upon us. Shop shelves groan with books purporting to explain, through snazzy brain-imaging studies, not only how thoughts and emotions function, but how politics and religion work, and what the correct answers are to age-old philosophical controversies. The dazzling real achievements of brain research are routinely pressed into service for questions they were never designed to answer. This is the plague of neuroscientism – aka neurobabble, neurobollocks, or neurotrash – and it’s everywhere.

My response to such alarmist hype was to call it the Journomarketing of Neurobollocks. Yes, it's true that the neurorelationship self-help cottage industry (for instance) tries to sell books by claiming to be scientific. And that any knowledge of the brain is completely unnecessary for take-home messages that include the benefits of mindfulness meditation and tips for attaining goals.

According to Quart:
Neuroscience has joined company with other totalizing worldviews — Marxism, Freudianism, critical theory — that have been victim to overuse and misapplication. 
[NOTE: I never suspected my discipline was self-aware enough to have a totalizing worldview...]

But interestingly, I would guess that critical theorists are among those leading the charge against neuroscientism in academia, in a repudiation of overly biological and reductionist explanations for human behavior. 3


Footnotes

1 Thanks also to Time writer Maia Szalavitz, who recommended my blog to Ms. Quart.

2 And her odd declarations, such as "dopamine is the ultimate feminist chemical in the female brain." See Feminist Dopamine, Conscious Vaginas, and the Goddess Array, Naomi Wolf's "Vagina" is full of bad science about the brain, and Mind Hacks author Dr. Vaughan Bell's pre-Vagina post on Naomi Wolf, porn and the misuse of dopamine. And don't miss the posts by our kindred science writers.

3 See Neuroetiquette and Neuroculture and Post-Antipsychiatry.

Subscribe to Post Comments [Atom]

Friday, November 23, 2012

Independent Neuroblogs as part of the science blogging ecosystem


Did you know there are at least 85 blogs on neuro/psych topics written by individuals (or small groups) outside of the blog network model? And that you can follow a feed of these blogs in several ways?

Independent Neuroblogs, a combined aggregate feed for non-network Neuroscience Blogs, started on FriendFeed in response to the proliferation (and increasing clout) of blog networks after the implosion of ScienceBlogs in 2010. The infamous PepsiGate scandal caused an exodus of bloggers from the once-mighty network (which still exists, by the way). Many bloggers went to other networks, including those hosted by Discover, Wired, Guardian, PLOS, and eventually Scientific American, or else started their own network, most prominently at Scientopia.

At around the same time, a new aggregator at scienceblogging.org wanted to become "Your one-stop shop for the most recent posts from science blog networks." This left those of us who were not part of blog networks, whether by choice or obscurity or quirkiness, out in the cold (or rather in the neuroghetto). Hence, the Indie Neuroblogs list was formed, which you can also follow on Twitter @neuroghetto or through its RSS feed. This group was then included on scienceblogging.org under the banner of Aggregators and Combined Feeds of Independent Bloggers.

The comprehensive ScienceSeeker site has since superseded scienceblogging.org. There you can select posts on Psychology and Neuroscience, or follow their respective feeds.

Of course, there are many other blog networks out there that include bloggers on psych/neuro topics, such as Big Think, Field of Science, Forbes, Lab Spaces,1 Nature Blogs, PsychCentral, Psychology Today, Occam’s Typewriter, Science 2.0, and others. And many authors write multiple blogs, some on networks and some independently.

What initially started as a group of 38 blogs in September 2010 has grown to a list of 85 97. There might be some that I've inadvertently excluded or overlooked. If I've missed your blog, or the blog of someone you know, please mention it in the comments and I will add it to the group.


http://addiction-dirkh.blogspot.com/
http://autismcrisis.blogspot.com/
http://bgoodscience.wordpress.com/
http://bjoern.brembs.net/
http://blog.ketyov.com/
http://blog.uberbrain.net/
http://bodyinmind.com.au/
http://bps-research-digest.blogspot.com/
http://brainethics.org/
http://brainimplant.blogspot.com/
http://brainposts.blogspot.com/
http://brainslab.wordpress.com
http://brainstudy.wordpress.com/
http://cellularscale.blogspot.com/
http://changizi.wordpress.com/
http://charbonniers.org/
http://corticalcolumns.wordpress.com/
http://corticalhemandhaw.blogspot.com/
http://crackingtheenigma.blogspot.com/
http://deevybee.blogspot.com/
http://drvitelli.typepad.com/providentia/
http://generallythinking.com/rethink/
http://hardsci.wordpress.com/
http://j0ns1m0ns.blogspot.co.uk/
http://juniorprof.wordpress.com/
http://kolber.typepad.com/ethics_law_blog/
http://mindblog.dericbownds.net/
http://mindhacks.com/
http://mindingthebrain.blogspot.com/
http://motorchauvinist.blogspot.com/
http://neuralconnections.blogspot.com/
http://neurealist.blogspot.com/
http://neurobites.wordpress.com/
http://Neurobonkers.com/
http://neurochambers.blogspot.co.uk/
http://neuroconscience.com/
http://neurocritic.blogspot.com/
http://neurocritic.posterous.com/
http://neurodojo.blogspot.com/
http://neurodudes.com/
http://neuroecology.wordpress.com/
http://neuroethicscanada.wordpress.com/
http://neurokuz.blogspot.com/
http://neurologicalcorrelates.com/wordpress/
http://neuronarrative.wordpress.com/
http://neuropsychological.blogspot.com/
http://neuroshrink.com/
http://neuroskeptic.blogspot.com/
http://neurosphere.wordpress.com/
http://neurowhoa.blogspot.com/
http://noustuff.wordpress.com/
http://practicalfmri.blogspot.com/
http://prefrontal.org/blog
http://psychiatrist-blog.blogspot.com/
http://psychneuro.wordpress.com/
http://psychothalamus.blogspot.com/
http://psychsciencenotes.blogspot.com/
http://psydoctor8.tumblr.com/
http://scottsworlds.blogspot.com/
http://sites.google.com/site/speechskscott/SpeakingOut
http://theamazingworldofpsychiatry.wordpress.com/
http://thebeautifulbrain.com/
http://the-brain-box.blogspot.co.uk/
http://the-connectome.com
http://themagnetisalwayson.com/
http://the-mouse-trap.com/
http://thequantumlobechronicles.blogspot.com/
http://thermaltoy.wordpress.com/
http://whywereason.wordpress.com/
http://wiringthebrain.blogspot.com/
http://www.dictionaryofneurology.com/
http://www.dormivigilia.com
http://www.functionalneurogenesis.com/blog/
http://www.gainesonbrains.com/
http://www.ionpsych.com/
http://www.neuralconnections.net/
http://www.neurevolution.net/
http://www.neuroscientificallychallenged.blogspot.com/
http://www.sayginlab.org/blog/
http://www.scienceofeds.org/
http://www.shockmd.com/
http://www.spring.org.uk/
http://www.talkingbrains.org/
http://www.talyarkoni.org/blog/
http://www.thecuriousneuron.com/

ADDENDUM: 
The Thoughtful Vegetable
Manchester Psychiatry Society
WhatWeHaveUnleared
Right Mind Matters
Cedar's Digest

LawsNeuroBlog
Neuroscience postdoc blog
Knowing Neurons
Computing for Psychologists
Daniel Bor
Science and Education Blog 
Corona Radiata


Footnote

1 Which has the dubious distinction of being the only blog network that has ever wanted me as a member...



The Seductive Allure of Neuroscience Blogs

Subscribe to Post Comments [Atom]

Sunday, November 18, 2012

Vicodin for Social Exclusion


Cyberball (with apologies to Kipling D. Williams).


Cyberball (not the Atari version) is a virtual game designed by social psychologists to be a model for social rejection and ostracism (Williams et al., 2000). The study participant is led to believe they are playing an online ball-tossing game with other people, who then proceed to exclude them from the game. The resultant negative feelings are meant to be a proxy for ostracism based on fundamental attributes such as race, disability, physical appearance, homelessness, etc. This simple game has lead to a burgeoning cottage industry on social pain and its close resemblance to physical pain.


Social Pain and Physical Pain Are Not Interchangeable

That statement may sound obvious to you, but an increasing number of neuroimaging studies would have us believe otherwise. Whenever I read an article proclaiming that "the brain bases of social pain are similar to those of physical pain" (Eisenberger et al., 2003), I am reminded of how phenomenologically DIFFERENT they are. Waking up from general anesthesia and feeling undermedicated for surgery that took your body apart and put it back together again feels absolutely nothing like being rejected by your long-term partner. Your anterior insula and anterior cingulate cortex might be very busy in both cases, but they're also activated in many different situations (Yarkoni et al, 2011).

Indeed, of the 2238 total papers in the BrainMap neuroimaging database, 735 of them contain the search term 'anterior cingulate' (see also Shackman et al., 2011). Besides pain and emotion, the behavioral domains that activate this brain region include motor learning, language, speech, explicit memory, working memory, bladder control, thirst, sexuality, and perception in all five senses. Sure, the affective components of pain might show some overlap with physical pain (Kross et al., 2011), but distinct networks are likely responsible for the unique aspects of these different qualia.1


The Aversive Brain

Hayes and Northoff (2012) described a core brain network involved in the processing of aversive stimuli (or states) that can be either painful or non-painful in nature. They relied on evidence from both the human and animal literatures. Aversion here refers to more than social and physical pain, and includes avoidance of stimuli that are unpleasant, frightening or disgusting. Meta-analysis of human neuroimaging data showed overlap in some of the structures involved in non-painful aversion and physical pain (shown in green below), which accounted for 35% of Aversion-related voxels and 24% of Pain-related voxels. These overlapping regions included mid-cingulate cortex, posterior cingulate cortex, anterior insula, right ventrolateral prefrontal cortex (PFC), dorsomedial PFC, thalamus, midbrain, secondary motor cortex, and areas related to memory (right hippocampus/parahippocampal gyrus) and even reward (dorsal striatum).2

It is important to note here that some of the social pain darlings (mid-cingulate cortex, anterior insula, right ventrolateral PFC) are also activated by unpleasant pictures, sounds, and smells.

- click on image for a larger view -


Fig. 2 (Hayes & Northoff, 2012). Overlap of pain- and aversion-related networks in humans. Results of meta-analyses for human pain- (blue) and aversion- (yellow) related studies (top row), overlapping activations (green; top row and isolated in bottom row), and a corresponding table of associated brain regions. All results are family-wise error rate whole-brain corrected at p < 0.05


Furthermore, although there was substantial overlap between Aversion and Pain, 65% and 76% of all activations (respectively) were not shared. Structures uniquely activated by Aversion included the amygdala, hypothalamus, more anterior regions of the anterior cingulate, and another reward-related area (ventral striatum). Brain regions uniquely activated by Pain included the cerebellum, rostral pons, somatosensory cortex, posterior insula, and yet another dopamine-rich, reward-related area (ventral tegmental area).3

Dave J Hayes, co-author of the study, wrote about this fruitful cross species network approach to The Aversive Brain in his blog.


But Depression Hurts, doesn't it?

It sure does according to Lilly, who would also like us to believe that their drug Cymbalta (duloxetine, an SNRI antidepressant) will cure your aches and pains along with your depression. But Duloxetine Does Not Relieve Painful Physical Symptoms in Depression, according to a meta-analysis of five available studies (Spielmans, 2008).

How much overlap is there between brain activity associated with physical pain and feelings of sadness? To answer this question, I performed a meta-analysis of my own that made use of the BrainMap database of published neuroimaging experiments. Using GingerALE software, I did two activation likelihood estimate (ALE) meta-analyses to look at brain regions activated by experimental manipulations to induce physical pain and sadness (see Laird et al., 2005 for methodological details of ALE). In brief, the procedure involves three steps to determine the likelihood of activation across experiments:
  1. ALE and Testing Significance: Compute the ALE values for each voxel in the brain and performs a test to determine the null distribution of the ALE statistic at each voxel.
  2. Thresholding: Take the P values from the previous step and computes the threshold for the ALE map using the Tom Nichol’s FDR algorithm.
  3. Cluster Analysis: Perform cluster analysis on the thresholded map, based on the minimum volume that is specified in the previous step.

Using Sleuth to search the BrainMap database revealed 94 papers related to pain perception or pain monitoring/discrimination, which involved 1334 subjects, 345 experimental contrasts, and 3455 locations. 4 The search for sadness identified 58 papers involving 1159 subjects, 193 experimental contrasts, and 1204 locations. The pinkish-colored regions in the figure below show the overlap between sadness (in blue) and pain (in red) — which is not very extensive! The slices were selected to highlight overlap in anterior cingulate (Left), mid-insula and basal ganglia (Middle), and anterior insula (Right).


The main points here are that:
  • Sadness is represented quite differently from physical pain.
  • The shared physical pain-social pain network also includes aversive responses to unpleasant sensory stimuli. Which are not painful.

So any treatment designed to ease the unpleasantness of physical pain would not help the concomitant  feelings of sadness, at least not directly. But treatments for social pain could generalize to the non-painful aversion network: disgusting and disturbing things might not seem as bad, either.

Have there been any effective manipulations to ease social pain? One unlikely study claimed that acetaminophen reduced the pain of social rejection (Dewall et al., 2010).  I was quite skeptical of this study, as outlined in Suffering from the pain of social rejection? Feel better with TYLENOL®:
 In Experiment 1, 30 participants (24 women, 6 men) took one 500 mg acetaminophen pill immediately after waking up and another 500 mg an hour before going to sleep (1,000 mg per day for 3 weeks). The other 32 participants (24 women, 8 men) took the same dosing of placebo for 3 weeks. Each evening, subjects filled out the the Hurt Feelings Scale (the "today" version) to report how much social pain they had experienced that day. Despite the fact that the half life of acetaminophen is 4 hours, it took about 10 days for the drug group to report significantly lower hurt feelings than the placebo group. The difference on day 21 was greatest (p < .005). However, the difference in change-over-time slopes between the two groups was only marginally significant (p ≤ .10). The explanation of the time course for these effects was unclear...
 Or as Time writer Maia Szalavitz said in a comment on the post:
This study would have made sense if they used opioids, which are known to reduce the emotional aspect of physical pain. There's also a high concentration of opioid receptors in the cingulate. Of course, the result wouldn't have been novel or surprising: junkies wouldn't exist if opioids didn't kill emotional pain.

Indeed, if acetaminophen could numb emotional pain, this would have been discovered by addicts by now. The fact that the drug remains boringly OTC suggests that this effect is either so small it can only be detected in the lab or nonexistent as the blog suggests.

Buffer the Pain Away 5

This brings us to a new study (by one of the same authors) that administered transcranial direct current stimulation (tDCS) over right ventrolateral PFC and reported a reduction in negative feelings caused by exclusion in a game of Cyberball  (Riva et al., 2012). This article, like the acetaminophen one, was published Psychological Science.


Rather than launch into a full-scale summary of this study, I refer the interested reader to a post by Andrew Wilson Psychological Science...meet me at camera 3, which is not about this paper but summarizes some of the general issues that can be seen in 2-3 page short reports in Psych Science.

As for the specific findings of Riva et al. (2012), beyond asking whether all five of the rating scales confirmed the result (rather than just the two reported), I wonder about the specificity of the response to social exclusion. In other words, would tDCS reduce reactions to aversive stimuli in general (as noted above)? What do you think, does right frontal tDCS improve functioning in other domains? What do we know about its mechanisms of action?

And finally, do you buy the premise that social exclusion hurts, literally?


Footnotes

1 According to the Stanford Encyclopedia of Philosophy:
Philosophers often use the term ‘qualia’ ... to refer to the introspectively accessible, phenomenal aspects of our mental lives. ... Disagreement typically centers on which mental states have qualia, whether qualia are intrinsic qualities of their bearers, and how qualia relate to the physical world both inside and outside the head. The status of qualia is hotly debated in philosophy largely because it is central to a proper understanding of the nature of consciousness. Qualia are at the very heart of the mind-body problem. 

2 Presumably, the vast majority of subjects were not masochists or gluttons for punishment.

3 Another complicating factor is that this so-called "Pain Matrix" might not be specific to pain at all, but may instead reflect responses to highly salient stimuli in different modalities (Iannetti & Mouraux, 2010).

4 Compare this to 6 yrs ago, when my analysis for physical pain yielded only 35 studies (see Hypnosis and Pain Control).

5 OR you could F**k the Pain Away...

...as Peaches would say.


References

Dewall CN, Macdonald G, Webster GD, Masten CL, Baumeister RF, Powell C, Combs D, Schurtz DR, Stillman TF, Tice DM, Eisenberger NI. (2010). Acetaminophen reduces socialpain: behavioral and neural evidence. Psychol Sci. 21:931-7.

Eisenberger NI, Lieberman MD, Williams KD. (2003). Does rejection hurt? An FMRI study of social exclusion. Science 302:290-2.

Hayes, D., Northoff, G. (2012). Common brain activations for painful and non-painful aversive stimuli. BMC Neuroscience, 13 (1) DOI: 10.1186/1471-2202-13-60

Iannetti GD, Mouraux A. (2010). From the neuromatrix to the pain matrix (and back). Exp Brain Res. 205:1-12.

Kross E, Berman MG, Mischel W, Smith EE, Wager TD. (2011). Social rejection sharessomatosensory representations with physical pain. Proc Natl Acad Sci 108(15):6270-5.

Laird AR, Fox PM, Price CJ, Glahn DC, Uecker AM, Lancaster JL, Turkeltaub PE, Kochunov P, Fox PT. (2005). ALE meta-analysis: controlling the false discovery rate and performing statistical contrasts. Hum Brain Mapp. 25:155-164.

Riva, P., Romero Lauro, L., DeWall, C., Bushman, B. (2012). Buffer the Pain Away: Stimulating the Right Ventrolateral Prefrontal Cortex Reduces Pain Following Social Exclusion. Psychological Science DOI: 10.1177/0956797612450894

Shackman AJ, Salomons TV, Slagter HA, Fox AS, Winter JJ, Davidson RJ. (2011). The integration of negative affect, pain and cognitive control in the cingulate cortex. Nat Rev Neurosci. 12:154-67.

Spielmans GI. (2008). Duloxetine does not relieve painful physical symptoms in depression: a meta-analysis Psychother Psychosom. 77:12-6.

Williams KD, Cheung CK, Choi W. (2000). Cyberostracism: effects of being ignored over the Internet. J Pers Soc Psychol. 79:748-62.

Yarkoni T, Poldrack RA, Nichols TE, Van Essen DC, Wager TD. (2011). Large-scale automated synthesis of human functional neuroimaging data. Nat Methods 8:665-70.

Subscribe to Post Comments [Atom]

Friday, November 09, 2012

The Neuroscience of Speed Dating Choice

























Can brain activity measured while rating potential dates predict later choices at speed dating events?

Haven't you lay awake at night wondering if 36 voxels in your rostromedial prefrontal cortex (RMPFC) can predict your future romantic decisions? If you have, you're in luck. Cooper and colleagues (2012) conducted an fMRI study to answer this burning question in the affirmative.
"and then I asked him with my eyes to ask again yes and then he asked me would I yes to say yes my mountain flower and first I put my arms around him yes and drew him down to me so he could feel my breasts all perfume yes and his heart was going like mad and yes I said yes I will Yes."  

-James Joyce, Ulysses

OK, so maybe nothing that dramatic emerged after your 5 min date at the Campus Rec Center...

This might be hard for me, but I'll try to seriously convey the major point of the study: how does the brain form first impressions of potential romantic partners? My immediate retort to the experimental approach is why would you ever think that 36 voxels in one brain area (and 34 in another) can drive such a complicated decision??

But that was the finding of this paper, which was published in the Journal of Neuroscience.

To describe the methods in brief, 39 single young heterosexual adults participated in a scanning session where they viewed photographs of their potential dates and rated them on on three dimensions:
a “first-impression”(FI) rating with the scale “How much would you like to date this person?,” as well as separate ratings of physical attractiveness (Att) and likability (Like).

After scanning, the same photos were rated again on scales that assessed potential romantic desirability: “How physically attractive is this person?” and “How much do you think you would like this person?”  Another 112 young adults also participated in the behavioral part of the study, but not the fMRI part.

For analysis, the authors estimated four models:
  1. Basic decision, two predictors: partners who were later pursued and those who were rejected.
  2. Similar but controlled for reaction time (RT) to the FI decision. This will become important, as we'll see below.
  3. Regions that correlated with subjective desirability ratings: single predictor for all partners with two parametric modulators: one for subjective physical attractiveness (Att) and one for subjective likeability (Like).
  4. Adjustment for partner and relationship effects: single predictor for all partners with two parametric modulators: one for the consensus judgment (hot or not) and one for individual preference (idiosyncratic choice).

Let's look at the results for the basic decision (A) and for subjective attractiveness (B) in the figure below.



Modified from Fig. 2 (Cooper et al.,  2012). Neural predictors of subsequent decision compared with areas mediating judgments of physical attractiveness. A, Brain regions showing greater responses at the time of first viewing for faces of individuals that are subsequently selected as a potential romantic partner, compared with those who were not. Paracingulate cortex (circled) is the only activated region that significantly independently correlates with subsequent decision in a multiple regression including all activated regions. B, Brain regions positively correlating with subjective ratings of physical attractiveness for each partner. C, Overlap between brain regions related to decision and those related to attractiveness, showing substantial overlap between these variables in the paracingulate cortex. All images thresholded at p < 0.001 voxelwise with extent threshold set to control whole-brain FWE at p < 0.05. Color bars indicate t statistic.


The circled area (A) is called paracingulate cortex by these authors and dorsal anterior cingulate cortex (ACC) by many others. The paracingulate is the only region that correlated with subsequent dating decisions. However, the dorsal ACC is activated in a whole host of situations (Botvinick, 2007; Posner et al., 2007). An explanation for this is well beyond the scope of a single blog post. The big blob (B) correlated with physical attractiveness, and (C) shows the overlap between these two.

It was important to control for the RT of first impression decisions because activity in the ACC is sensitive to "time on task," or how long it takes to process or respond to a stimulus. This means that the ACC shows greater activity when RTs are long. This is a confound for many studies that examine response conflict, or interference, like the well-known Stroop task (RED, BLUE, etc.).  If you control for longer RTs that are inevitable in tasks like the Stroop, the interference effect in the ACC goes away (Carp et al., 2010). Hence, the paracingulate could merely be responsive to making dating decisions that are sometimes ambiguous or difficult.

The table below shows that wasn't entirely the case, but the magnitude of the paracingulate activation was diminished when RT was controlled. This wasn't true of two other brain regions (ventral visual cortex, medial precuneus), which weren't even discussed in the paper.



Modified from Table 2 (Cooper et al.,  2012). Activations correlated with subsequent decisions/ratings. [NOTE: compare the two hearts.]


As a final comparison, let's look at activations sensitive to universal hotness vs. idiosyncratic choice. Our friend the paracingulate responded to objective attractiveness, as judged by the entire group of participants. In contrast, another region — 36 voxels in the rostromedial prefrontal cortex — responded to whether the potential partner was desirable to a specific participant.



Modified from Fig. 4 (Cooper et al.,  2012). Distinct regions of medial prefrontal cortex mediate effects of consensus judgments and individual preferences. A, Region of paracingulate cortex significantly correlated with consensus judgments for decisions (i.e., partners who were more frequently pursued). B, A distinct region of RMPFC was correlated with individual preferences.


Overall, the authors have tried to convince us that neural activity in two small regions of the brain mediate first impressions and can predict whether or not we'll pursue contact with a potential romantic partner at a speed dating event. Somehow I think we're missing something here... namely how these medial PFC regions interact with the rest of the brain while making these snap decisions. Not to mention how this intersects with our past experience and future goals.


References

Botvinick MM. (2007). Conflict monitoring and decision making: reconciling two perspectives on anterior cingulate function. Cogn Affect Behav Neurosci. 7(4):356-66.

Carp J, Kim K, Taylor SF, Fitzgerald KD, Weissman DH. (2010). Conditional Differences in Mean Reaction Time Explain Effects of Response Congruency, but not Accuracy,on Posterior Medial Frontal Cortex Activity. Front Hum Neurosci. 4:231.

Cooper, J., Dunne, S., Furey, T., O'Doherty, J. (2012). Dorsomedial Prefrontal Cortex Mediates Rapid Evaluations Predicting the Outcome of Romantic Interactions Journal of Neuroscience, 32 (45), 15647-15656 DOI: 10.1523/JNEUROSCI.2558-12.2012

Posner MI, Rothbart MK, Sheese BE, Tang Y. (2007). The anterior cingulate gyrus andthe mechanism of self-regulation. Cogn Affect Behav Neurosci. 7(4):391-5.










The Journal of Neuroscience Speed Dating is a specialty journal in The Journal of Speed Dating Studies series.

Subscribe to Post Comments [Atom]

Tuesday, November 06, 2012

Cotard's Syndrome: Not Pretending That We're Dead


Playing dead game --  A craze called the "playing dead game" has swept this nation where people of all ages stage elaborate death scenes everyplace.


Believing That We're Dead

Cotard's Syndrome is the delusional belief that one is dead or missing internal organs or other body parts (Debruyne et al., 2009). Those who suffer from this "delusion of negation" deny their own existence. The eponymous French neurologist Jules Cotard called it le délire de négation ("negation delirium").

Cotard's syndrome has been observed in mentally ill persons with psychotic disorders (such as schizophrenia and psychotic depression), as well as in neurological patients with acquired brain damage. In a review of 100 cases, Berrios and Luque (1995) found that:
Depression was reported in 89% of subjects; the most common nihilistic delusions concerned the body (86%) and existence (69%). Anxiety (65%) and guilt (63%) were also common, followed by hypochondriacal delusions (58%) and delusions of immortality (55). An exploratory factor analysis extracted 3 factors: psychotic depression, Cotard type I and Cotard type II. The psychotic depression factor included patients with melancholia and few nihilistic delusions. Cotard type 1 patients, on the other hand, showed no loadings for depression or other disease and are likely to constitute a pure Cotard syndrome whose nosology may be closer to the delusional than the affective disorders. Type II patients showed anxiety, depression and auditory hallucinations and constitute a mixed group.

In their overview, Debruyne et al., 2009 presented two cases with distinctively different outcomes:
1. An 88-year-old man with mild cognitive impairment was admitted to our hospital for treatment of a severe depressive episode. He was convinced that he was dead and felt very anxious because he was not yet buried. This delusion caused extreme suffering and made outpatient treatment impossible. Treatment with sertraline, 50 mg, and risperidone, 1 mg, resulted in complete remission of the depressive episode and nihilistic delusions...

2. A 46-year-old woman with known rapid-cycling bipolar disorder ... presented with a depressive episode with psychotic features. Her nihilistic delusions were compatible with Cotard’s syndrome. She had the constant experience of having no identity or “self” and being only a body without content. In addition, she was convinced that her brain had vanished, her intestines had disappeared, and her whole body was translucent. ... The following pharmacologic treatments previously had been used to treat this patient, without consistent effect: lithium, valproate, carbamazepine, haloperidol, olanzapine, risperidone, clozapine, pimozide, sulpiride, clomipramine, sertraline, paroxetine, fluoxetine, citalopram, mirtazapine, and venlafaxine. Electroconvulsive therapy (ECT) was also used without effect. The nihilistic delusions disappeared in this patient, but a mood switch to a hypomanic episode occurred...
In the 46 year old patient, MRI and SPECT findings were negative, but her neuropsychological testing was suggestive of right hemisphere dysfunction.


Delusions of Death in a Patient with Right Hemisphere Infarction

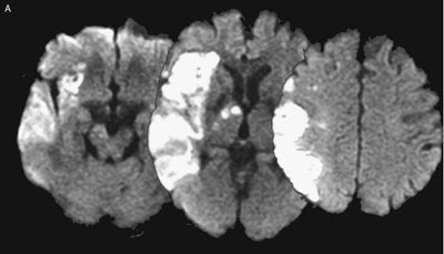
Does the right hemisphere play a unique role in maintaining a sense of self? A new case study by Nishio and Mori (2012) described a 69 year old patient who suffered a stroke affecting portions of the right frontal, temporal, and parietal lobes and right thalamus. A neurological exam a week later revealed severe hemispatial neglect of the left side of space, left sided weakness, motor neglect of his left limbs, and impaired senses of pain, cold, touch, vibration, and position on the left side of his body. These symptoms are typical of such a large right hemisphere lesion (see below).1


FIGURE 1. (Nishio & Mori, 2012). Magnetic resonance images of the patient’s brain, taken just after the onset of the stroke. The right side of the brain appears on the left side of the scans. A, Transverse diffusion-weighted images show fresh infarcts involving the right-frontal, temporal, and parietal lobes and thalamus.


What was unusual were other aspects of his behavioral presentation:
...He criticized his doctors, nurses, and rehabilitation therapists, and complained bitterly about the hospital’s food and oxygen. He falsely believed that his brother-in-law, previously a director of another hospital, was to blame for this hospital’s flaws. He was treated with mianserin (10 mg/day) and quetiapine (25 mg/day); his irritability and agitation subsided within 2 to 3 weeks. During that time, we became aware that the patient was suffering from several delusional misidentifications. He thought that Kim Jong-il, then the leader of North Korea, was staying on the floor below his own, and that his physical therapist was a grandson of Puyi, the last Emperor of China...

A month after the onset of his symptoms, by which time his motor and cognitive symptoms had gradually improved, he began complaining regularly of feelings of unreality, and asked his wife whether he was alive or dead. He said to his doctor, “I guess I am dead. I’d like to ask for your opinion.” Later, his conviction about death became firmer. He said, “My death certificate has been registered. You are walking with a dead man,” and “I am dead. I will receive a death certificate for me from my doctor and have to bring it to the city office early next week.”

His discussion of his demise was not associated with a depressed mood or feelings of fear. When his doctor asked him whether a dead man could speak, he understood that his words defied logic, but he could not change his thinking.

As time passed, his delusions of death dissipated, yet in retrospect he characterized these delusions as real:
His delusion of being dead and his feelings of depersonalization gradually subsided and disappeared 4 months after the stroke. One year after the stroke, however, he still believed in the truth of the memories that he had formed during his delusional state. He said, “Now I am alive. But I was once dead at that time,” and “I saw Kim Jong-il in the hospital where I stayed.”

The authors discussed the case in relation to other delusional misidentification syndromes such as Capgras syndrome, where the patient believes their loved ones have been replaced by nearly identical duplicates or impostors. One functional interpretation of Capgras is that a disconnection between facial recognition and affective processes has occurred, such that the person no longer experiences the feelings of familiarity and warmth towards their significant others. In a similar fashion, some cases of Cotard could result from a lack of familiarity with or detachment from one's self, which is then interpreted as being dead or no longer existing.

Why did this particular patient show the Cotard delusion, whereas other people with similar right hemisphere strokes have not? Where is the pathology in psychiatric patients with Cotard's, who comprise the bulk of case reports? For that matter, will we be able to develop neuroscientific explanations for these questions and construct something resembling a functional neuroanatomy of the self?

Are you really your connectome??



L7 - Pretend We're Dead, directed by Modi Frank.


Footnote

1 Interestingly, the patient seemed to present with a relatively pure case of Cotard type I. His delusion was restricted to death, as he did not deny the existence of body parts or of his left-sided weakness. Both of these are relatively common with similar right hemisphere strokes.
The patient did not show asomatognosia (lack of awareness about the condition of part or all of his body), anosognosia (lack of awareness of his disability) for hemiplegia, or somatoparaphrenia (denial that a limb or a whole side belonged to his body).


References

Berrios GE, Luque R. (1995). Cotard's syndrome: analysis of 100 cases. Acta Psychiatr Scand. 91:185-8.

Debruyne H, Portzky M, Van den Eynde F, Audenaert K (2009). Cotard's syndrome: a review. Current psychiatry reports, 11 (3), 197-202. PMID: 19470281

Nishio Y, Mori E (2012). Delusions of Death in a Patient with Right Hemisphere Infarction. Cognitive and behavioral neurology. PMID: 23103861



Playing dead -- Chuck Lamb is the “dead body guy”. He enjoys playing dead and his tryings to “perform” in movies made him more famous than his actually doing that.

Subscribe to Post Comments [Atom]

Thursday, November 01, 2012

New research provides fresh evidence that bogus press releases may depend largely on our biological make-up







This Is Your Brain On Press Releases: Neuroscience Reveals Brain Differences Between Writers and Consumers

ScienceDally (Nov. 1, 2012) — New research from the University of South Carolina provides fresh evidence that writing bogus press releases days before the U.S. Presidential Election may depend largely on our biological make-up. That's because the brains of self-identified University Press Offices and the Discerning General Public are hard-wired differently and may be naturally inclined to hold varying, if not opposing, perceptions and values. This study showed a strong link with broad ideas of truth with Press Offices and a strong link with tight ideas of truth with the Discerning Public.

Read more »

Subscribe to Post Comments [Atom]

eXTReMe Tracker