Saturday, May 26, 2012

The Journal of Chatroulette Studies



"Men do not share women’s desire to be desired. Instead, they emulate their bonobo brethren: The internet is saturated with penis self-portraits from every nation on Earth. At any given moment, one in four cameras on the webcam network ChatRoulette are aimed at a penis."

-Ogi Ogas

A new scholarly journal has published its inaugural issue,1 with a ground-breaking cover article by Dr. Ogi Ogas and Dr. Sai Gaddam on the evolutionary underpinnings of exhibitionism, from primates to humans. A précis of this trenchant paper (by Dr. Ogas) recently appeared in Wired:

The Urge to Sext Naked Self-Portraits Is Primal

Over the past two years, more photographs of bare-naked celebrity anatomy have been leaked to the public eye than over the previous two centuries: Scarlett Johansson snapping a blurry self-portrait while sprawled on her bed, Vanessa Hudgens posing for a cellphone in a bracelet and a smile, Congressman Wiener touting a Blackberry and a mirror in the House Members Gym, Jessica Alba, Christina Aguilera, Miley Cyrus, Ron Artest, Charlize Theron, Chris Brown, Bret Favre, Rihanna, Pete Wentz, Ke$ha, and dozens more.

This flood of celebrity skin has prompted folks to wonder, ‘Why are so many famous people exhibitionists?’ The source of all this au naturel flaunting lies not in the culture of fame, but in the design of our sexual brains. In fact, research has unveiled two distinct explanations: Female exhibitionism appears to be primarily cortical, while male exhibitionism is mainly subcortical.

You mean there have been neuroimaging studies of sexting and other forms of exhibitionism?

No, not really. The other definitive sources for this piece are Girls Gone Wild, MySpace, Facebook, an adult networking site, primatologist Frans de Waal's Peacemaking Among Primates (1990), and Reddit’s heterosexual Gone Wild forum (2010).

The précis also coincides with the release of the paperback version of A Billion Wicked Thoughts, their authoritative treatise on internet sex. Some of you might remember Ogas and Gaddam from the Neurofanfic queries of 2009, when the proto-title of their book was Rule 34: What Netporn Tells Us About The Brain. Some of their innovative research involved polling the writers and consumers of online fanfic:
Hi,

I'm a cognitive neuroscientist at Boston University writing a book for Dutton (an imprint of Penguin) about how the Internet reveals new insights into some of the oldest circuits in our brain which control romantic attraction and sexual behavior. I was very much hoping you might be willing to chat about Crack Van on LJ.

. . .

For our research, we're quite interested in learning about how people creatively use text and fiction to express and explore sexuality. If you're willing, we'd like to ask questions about Crack Van and about adult fanfic in general. If you'd like, we'd be happy to include a positive mention of you and/or Crack Van in the book (or respect your privacy, if you'd prefer).

If you have any questions about our research or book, please don't hesitate to ask! I look forward to hearing from you! :)

Dr. Ogi Ogas
Department of Cognitive and Neural Systems
Boston University

However, some were not prepared for such forward-looking methods, so the poll generated an enormous amount of controversy in the fanfic community. [They're a very prolific bunch.] For a summary of this fantastic dialogue, I recommend Sex, Lies and IRB Tape: Netporn to SurveyFail at Neuroanthropology.


And I urge you to check out the other titles in this prestigious academic series, the Journal of Speed Dating Studies and the Journal of Facebook Studies.


For more on the gendered evolutionary roots of sexting, see Jezebel and the Columbia Journalism Review.


Footnote

1 Disclaimer: this post is a spoof, and these are not real APS journals.


Subscribe to Post Comments [Atom]

Thursday, May 17, 2012

Blast Wave Injury and Chronic Traumatic Encephalopathy: What's the Connection?

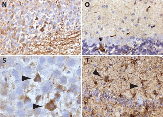
Fig. 3 (Goldstein et al., 2012). Single-blast exposure induces CTE-like neuropathology in wild-type C57BL/6 mice.


In a tour de force, a group of 35 Boston-area scientists1 (Goldstein et al., 2012) developed a mouse model of blast-related neurotrauma that resulted in pathological changes similar to chronic traumatic encephalopathy (CTE), a progressive neurodegenerative disease seen most often in athletes with repeated concussions. They also reported post-mortem neuropathological findings from the brains of war veterans and amateur football players who had sustained concussions and traumatic brain injuries (TBIs).

Diagnosis of CTE occurs after autopsy, because the brain tissue has to be stained for characteristic protein abnormalities which cannot be visualized in a living human. A defining pathological feature is tauopathy - abnormal accumulations of the tau protein seen in other dementias (e.g., Alzheimer's disease). Aggregations of hyperphosphorylated tau into neurofibrillary tangles (NFTs) are a defining feature, as in frontotemporal lobar degeneration and amyotrophic lateral sclerosis - yet CTE is distinct from both of these (McKee et al., 2009). CTE results in cognitive and behavioral changes including memory impairments, poor impulse control, alterations in mood, suicidal behavior, disorientation, and ultimately dementia.


Can Blast Waves Cause Chronic Traumatic Encephalopathy?

The major conclusion drawn from the human data in this study is that exposure to blasts from IEDs causes CTE (Goldstein et al., 2012). However, my contention is that the cause of tauopathies in these military veterans is unclear. Three of the four had histories of concussion from other events.


Much of what you've read about this paper in the media is wrong.

The worst offender by far was Business Insider:
Scientists Looked Inside The Brains Of Troops Killed By Bombs And Made This Shocking Discovery

Trauma from exposure to a single improvised explosive device (IED) blast can result in long-term brain impairment, according to new research.

The study, published today in the journal Science Translational Medicine, is the first to examine postmortem brains of U.S. military personnel who were exposed to a blast and/or a concussive injury.

It found evidence that a single blast from a typical IED can cause traumatic brain injury (TBI) and chronic traumatic encephalopathy (CTE).

Really?

1) None of the troops were killed by bombs -- they all died from other causes.

2) None of the troops had a single isolated blast exposure.

3) It is not the first study to examine postmortem brains of U.S. military personnel who were exposed to a blast and/or a concussive injury. That would be the paper by Omalu, Hammers, et al. (2011). I wrote about it here.2

4) The evidence that a single IED blast can cause TBI and CTE did not come from looking inside the brains of troops, it was obtained from a mouse model of neurotrauma.

Next, let's take a look at what the paper actually did.


Part 1 - Human CTE

The brain banks at the Center for the Study of Traumatic Encephalopathy and the Alzheimer's Disease Center at Boston University provided the brains of 12 human subjects:
  • 4 male military veterans (ages 22-45 yrs) with histories of explosive blast and/or concussive injury 1 to 6 years before death
  • 4 male athletes (ages 17-27 yrs) with histories of repetitive concussive injury, including 3 football players and a professional wrestler
  • 4 male controls (ages 18-24 yrs) with no known blast exposure, trauma history, or neurological disease
Case histories of the military veterans are presented below, to show that 3 of the 4 had concussions that were not due to explosive blast.
Case 1, a 45-year-old male U.S. military veteran with a single close-range IED blast exposure, experienced a state of disorientation without loss of consciousness that persisted for ~30 min after blast exposure. He subsequently developed headaches, irritability, difficulty sleeping and concentrating, and depression that continued until his death 2 years later from a ruptured basilar aneurysm. His medical history is notable for a remote history of concussion associated with a motor vehicle accident at age 8 years.

Case 2, a 34-year-old male U.S. military veteran without a history of previous concussive injury, sustained two separate IED blast exposures 1 and 6 years before death. Both episodes resulted in loss of consciousness of indeterminate duration. He subsequently developed depression, short-term memory loss, word-finding difficulties, decreased concentration and attention, sleep disturbances, and executive function impairments. His neuropsychiatric symptoms persisted until death from aspiration pneumonia after ingestion of prescription analgesics.

Case 3, a 22-year-old male U.S. military veteran with a single close-range IED blast exposure 2 years before death. He did not lose consciousness, but reported headache, dizziness, and fatigue that persisted for 24 hours after the blast. He subsequently developed daily headaches, memory loss, depression, and decreased attention and concentration. ... He was diagnosed with PTSD 3 months before death from an intracerebral hemorrhage. His past history included 2 years of high school football and multiple concussions from fist fights.

Case 4, a 28-year-old male U.S. military veteran with two combat deployments, was diagnosed with PTSD after his first deployment 3 years before death. His history was notable for multiple concussions as a civilian and in combat, but he was never exposed to blast. ... He died from a self-inflicted gunshot wound 2 years after his last concussion.
In brief, Case 1 had a concussion in a car accident as a child, Case 3 had multiple concussions from football and fist fights, and Case 4 had major concussions at 12 yrs (bicycle accident with loss of consciousness and amnesia), 17 yrs (football injury with no loss of consciousness), 25 yrs (altered mental status during military deployment), and 26 yrs (accident with loss of consciousness and amnesia).

Case 4 had no history of blast exposure at all, so his results are not even related to the title of the paper. Only Case 2 had blast exposures with no other cause of concussion. And here we don't know the duration of unconsciousness, so it's difficult to know the severity of the TBIs.


Part 2 - Mouse CTE

In addition to reporting the post-mortem pathology, the authors developed an animal model of blast injury. The paper was truly a collaborative effort, as it involved physics, engineering, immunology, neuropathology, immunohistochemistry, neuroanatomy, electron microscopy, behavioral neurobiology, electrophysiology, and biochemistry. I'm surprised there weren't more than 35 authors. You'd certainly need a small army of bloggers to adequately describe all the experiments, so I'll merely outline some of the methods and results in the Appendix at the end of this post.

The take home message is that CTE-like pathology, cellular dysfunction, and impairments in learning and memory were observed within 2 weeks of a single blast exposure. Two weeks.


What does it all mean for veterans and athletes with brain injury?

We don't know the full implications yet. Many questions remain.

1) Do such dramatic changes really occur within 2 weeks of a single blast wave or concussive injury in humans? Most individuals (up to 90%) with a single concussion recover fully within 3 months (Bigler, 2008).

2) Would the mice continue to get worse if followed over a longer time interval? CTE is a degenerative disease, yet most individuals with concussions improve over time.

3) Is the damage dose-dependent? How many hits do you need for cognitive and behavioral changes to occur? Two of the athletes had such severe injuries that they died shortly after the last concussion.

4) Are some people more susceptible to developing CTE? One might guess that's the case, or else there would be hundreds of thousands of former athletes with very severe cognitive and psychiatric issues.

5) Studies have shown there are risk genes, such as polymorphisms of apolipoprotein E (APOE), that influence outcomes after head injury (Teasdale et al., 1997; Omalu, Bailes et al., 2011). It would be nice to have a more complete picture of the cases reported here.

6) I believe none of the CTE pathology is evident from in vivo MRI scans of various sorts. That's why diagnosis is done at autopsy. However, it might be time to explore the use of 18F-FDDNP (Shin et al., 2011; Small et al., 2012), a molecular imaging probe that labels tau and NFTs, in PET studies of living persons considered at risk for CTE.


Footnotes

1 ...with 26 separate sources of funding.

2 This case also involved multiple concussions from football and auto accidents in addition to blasts. Omalu et al. linked the pathology to PTSD rather than concussion. I argued there was Little Evidence for a Direct Link between PTSD and Chronic Traumatic Encephalopathy.



References

Bigler ED. (2008). Neuropsychology and clinical neuroscience of persistent post-concussive syndrome. J Int Neuropsychol Soc. 14:1-22.

Goldstein, L., Fisher, A., Tagge, C., Zhang, X., Velisek, L., Sullivan, J., Upreti, C., Kracht, J., Ericsson, M., Wojnarowicz, M., Goletiani, C., Maglakelidze, G., Casey, N., Moncaster, J., Minaeva, O., Moir, R., Nowinski, C., Stern, R., Cantu, R., Geiling, J., Blusztajn, J., Wolozin, B., Ikezu, T., Stein, T., Budson, A., Kowall, N., Chargin, D., Sharon, A., Saman, S., Hall, G., Moss, W., Cleveland, R., Tanzi, R., Stanton, P., & McKee, A. (2012). Chronic Traumatic Encephalopathy in Blast-Exposed Military Veterans and a Blast Neurotrauma Mouse Model. Science Translational Medicine, 4 (134), 134-134 DOI: 10.1126/scitranslmed.3003716

McKee AC, Cantu RC, Nowinski CJ, Hedley-Whyte ET, Gavett BE, Budson AE, Santini VE, Lee HS, Kubilus CA, Stern RA. (2009). Chronic traumatic encephalopathy in athletes: progressive tauopathy after repetitive head injury. J Neuropathol Exp Neurol. 68:709-35.

Omalu B, Bailes J, Hamilton RL, Kamboh MI, Hammers J, Case M, Fitzsimmons R. (2011). Emerging histomorphologic phenotypes of chronic traumatic encephalopathy in American athletes. Neurosurgery 69:173-83; discussion 183.

Omalu B, Hammers JL, Bailes J, Hamilton RL, Kamboh MI, Webster G, & Fitzsimmons RP (2011). Chronic traumatic encephalopathy in an Iraqi war veteran with posttraumatic stress disorder who committed suicide. Neurosurgical focus 31 (5): E3.

Shin J, Kepe V, Barrio JR, Small GW. (2011). The merits of FDDNP-PET imaging in Alzheimer's disease. J Alzheimers Dis. 26 Suppl 3:135-45.

Small GW, Siddarth P, Kepe V, Ercoli LM, Burggren AC, Bookheimer SY, Miller KJ, Kim J, Lavretsky H, Huang SC, Barrio JR. ( 2012). Prediction of cognitive decline by positron emission tomography of brain amyloid and tau. Arch Neurol. 69:215-22.

Teasdale GM, Nicoll JA, Murray G, Fiddes M. (1997). Association of apolipoprotein E polymorphism with outcome after head injury. Lancet 350:1069-71.


Appendix


Part 1 - Human CTE

Athletes

Case 5, a 17-year-old male high school football player who died from second impact syndrome 2 weeks after concussion
Case 6, an 18-year-old high school football and rugby player with a history of 3-4 previous concussions, one requiring hospitalization, who died 10 days after last concussion
Case 7, a 21-year-old male college football player, who played as a lineman and linebacker but had never been diagnosed with a concussion during 13 seasons of play beginning at age 9, and who died from suicide
Case 8, a 27-year-old male professional wrestler who experienced more than 9 concussions during his 10-year professional wrestling career who died from an overdose of OxyContin

Controls

Case 9, an 18-year-old male who died suddenly from a ruptured basilar aneurysm
Case 10, a 19-year-old male who died from a cardiac arrhythmia
Case 11, a 21-year-old male who died from suicide
Case 12, a 24-year-old male who died from suicide



Fig. 1 (modified from Goldstein et al., 2012). CTE neuropathology in postmortem brains from military veterans with blast exposure and/or concussive injury and young athletes with repetitive concussive injury.


Part 2 - Mouse CTE

Developed a blast neurotrauma model (using a compressed gas blast tube) to investigate the mechanistic linkage between blast exposure, CTE neuropathology, and neurobehavioral sequelae
  • Measured intracranial pressure dynamics and head kinematics during real or sham blasts

Assessed subsequent CTE-linked neuropathology, ultrastructural pathology, and phosphorylated tau proteinopathy

  • Examined brains 2 weeks after single blast or sham
  • Gross examination was unremarkable, but immunohistochemical analysis revealed marked neuropathology in the blasted brains, which included:
  1. reactive astrocytosis throughout the cortex, hippocampus, brainstem, etc.
  2. enhanced phosphorylated tau CP-13 immunoreactivity in superficial cortical layers
  3. hippocampal CA1 neurons intensely Tau-46–immunoreactive with evidence of frank neurodegeneration in hippocampal CA1 and CA3 subfields and dentate gyrus
  4. activated perivascular microglia throughout the brain, especially in the cerebellum

Examined ultrastructural pathology using electron microscopy



Confirmed the presence of phosphorylated tau proteinopathy using immunoblot analysis of tissue homogenates prepared from mouse brains 2 weeks after single-blast or sham-blast

  • Immunoblot analysis revealed a significant blast-related elevation of various phosphorylated tau protein epitopes


Found persistent functional impairments in hippocampal neurophysiology
  • Slowed axonal conduction
  • Deficient long-term potentiation (LTP) of activity-dependent synaptic transmission (a candidate mechanism of memory storage)

Single-blast exposure induced long-term behavioral deficits
  • Acquisition and long-term retention of hippocampal-dependent spatial learning and memory was impaired
  • These deficits were prevented by head immobilization during blast exposure

Subscribe to Post Comments [Atom]

Tuesday, May 15, 2012

Fatal Hypernatraemia from Excessive Salt Ingestion During Exorcism

Scene from The Exorcist (1973)


Now here's something you don't see every day (fortunately!):
Fatal voluntary salt intake resulting in the highest ever documented sodium plasma level in adults (255 mmol L−1): a disorder linked to female gender and psychiatric disorders (Ofran et al., 2004).

Excessive ingestion of salt is a well-recognized cause of hypernatraemia in children, is uncommonly recognized in debilitated elderly persons, but is rarely diagnosed in healthy, independent adults. We report a case of fatal salt poisoning in a 20-year-old lady who suffered of post-natal depression and ingested large quantities of salt as part of exorcism ritual. She presented with the highest ever documented serum sodium level of 255 mmol L−1, associated with severe neurological impairment that was unresponsive to aggressive hypotonic fluid replacement. Post-mortem examination ruled out any other possible probable cause of death. The medical literature was reviewed, and 16 previous cases of severe hypernatraemia in adults secondary to excessive salt ingestion were retrieved. Common features of all reported cases included female gender (95% of cases) and evidence of underlying cognitive or psychiatric disorders (all reported cases). We conclude that women with documented cognitive or psychiatric disorders, in particular depression, are susceptible for psychogenic salt poisoning. Awareness should be raised to the potentially life-risking use of salty beverages as emetics or as part of ‘exorcism’ rituals.

Although the patient received a prescription for Prozac to treat her postpartum depression, her family also advised her to undergo an exorcism. She reportedly drank six glasses of a mixture of 1 kg table salt in a liter of water! That's more than what's in your average container of Morton salt.

In another fatal case (Hédouin et al., 1999), a 19 year old woman with post-surgical epilepsy was severely flogged and forced to drink 5 liters of salt water as part of an exorcism. The imam involved in this case was arrested and charged with torture.

A summary of the literature on salt poisoning is presented below (from Ofran et al., 2004).

-- click on image to enlarge --




The third horrific report involved the exorcism of a 36 year old woman forcibly administered 1 kg of salt (Raya et al., 1992):
Five hours after admission, the patient showed clinical criteria of brain death, confirmed by electroencephalogram. Postmortem examination showed evidence of dehydration with a great decrease in the volume of the whole brain, several foci of parenchymal hemorrhage, and subarachnoid hemorrhage. ...

...we cannot rule out the possibility of rectal or vaginal administration of salt in our patient in the context of fanatic superstitious rituals and activities of an exceptional nature as those referred to in the case presented herein.



Pass the unsalted popcorn??


References

Hédouin V, Révuelta E, Bécart A, Tournel G, Deveaux M, Gosset D. A case of fatal salt water intoxication following an exorcism session. Forensic Sci Int. 1999 Jan 4;99(1):1-4.

Ofran Y, Lavi D, Opher D, Weiss TA, Elinav E. Fatal voluntary salt intake resulting in the highest ever documented sodium plasma level in adults (255 mmol L-1): a disorder linked to female gender and psychiatric disorders. J Intern Med. 2004 Dec;256(6):525-8.

Raya A, Giner P, Aranegui P, Guerrero F, Vazquez G. Fatal acute hypernatremia caused by massive intake of salt. Arch Intern Med. 1992 Mar;152(3):640, 646.

Subscribe to Post Comments [Atom]

Saturday, May 12, 2012

An Orgy of Self-Referential Blogging...



...may follow from a new PLoS ONE paper on bloggers whose posts are aggregated at ResearchBlogging.org (Shema et al., 2012):
The average RB blogger in our sample is male, either a graduate student or has been awarded a PhD and blogs under his own name.

The Neurocritic has never been one for meta-blogging.1 I don't like to draw attention to my existence as an actual person, and I don't have time to discuss things like the pros/cons of blogging, scientific outreach, gender imbalances, scientist bloggers vs. science writer bloggers, commenting policies, and blogging networks. It's not that these aren't worthwhile topics, it's just that it's not my thing.

For those issues, I recommend reading Scicurious, who has blogged thoughtfully (and extensively) about them. As you can see in the figure below, she's a major player in the RB science blogging tweeting universe.


Figure 3 (modified from Shema et al., 2012). Twitter interconnections – followers.


In a way, I feel like this article is the peer-reviewed equivalent of a link bait site that names you as a Top Fifty Psychology Blog, just asking for egotistical bloggers to post about it.

Well I'm not falling for it...


Footnote

1 That said, The Neurocritic's last post jokingly mentioned self-referential processing in the context of linking to oneself, but that was only because I actually have written extensively on spindle neurons, aka von Economo neurons.


Reference

Shema, H., Bar-Ilan, J., & Thelwall, M. (2012). Research Blogs and the Discussion of Scholarly Information. PLoS ONE, 7 (5) DOI: 10.1371/journal.pone.0035869

Subscribe to Post Comments [Atom]

Thursday, May 10, 2012

Spindle Neurons in Macaques?



Spindle neurons, or Von Economo neurons (VENs), are a unique type of large, bipolar neuron found primarily in layer Vb in the anterior cingulate cortex and the frontoinsular cortex of humans.1 In 1999, Nimchinsky and colleagues discovered that among the 28 nonhuman primate species they examined, only great apes had VENs [see Spindle Neurons: The Next New Thing?].

Spindle neurons are also seen in humpback, fin, sperm, and killer whales (Hof & Van der Gucht, 2007), elephants (Hakeem et al., 2009), and cetaceans such as the bottlenose dolphin, Risso’s dolphin, and the beluga whale (Butti et al., 2009).

Because VENs are only found in large-brained, highly evolved social species, and are potentially implicated in certain neurological and psychiatric disorders, their hypothesized functions include empathy, conscious awareness, and self-referential processing. A 2011 review by Allman and colleagues reiterated that only great apes (bonobos, chimpanzees, gorillas, orangutans) have VENs and suggested they...
...may be a specialization related to very large brain size. The large size and simple dendritic structure of these projection neurons suggest that they rapidly send basic information from FI [frontoinsular cortex] and LA [limbic anterior area] to other parts of the brain, while slower neighboring pyramids send more detailed information. Selective destruction of VENs in early stages of frontotemporal dementia (FTD) implies that they are involved in empathy, social awareness, and self-control, consistent with evidence from functional imaging.

VENs: Not Only for Great Apes Any More!

But now, a new study has identified these special neurons in the insular cortex of macaque monkeys (Evrard et al., 2012).


Figure 1 (Evrard et al., 2012). The Von Economo Neuron Is Present in Layer 5b in a Restricted Portion of the Agranular Anterior Insula in the Macaque Monkey (A) High-magnification photomicrographs demonstrating the identical morphology of the macaque and human VENs. Scale bar represents 25 μm.


Why weren't they found in the earlier studies that looked for them?

Three reasons: (1) they're a lot smaller in monkeys; (2) they're more fragile in monkeys; and (3) they're confined to a more limited anatomical region.
First, the large human VENs unambiguously stand out at low microscope magnifications. Searching for relatively smaller VENs among the densely packed cell population in layer 5 in the monkey required the highest microscope magnification, which would be unusual for anyone accustomed to examining the more obvious VENs in hominids. Second, the cytoskeletal matrix of the small monkey VENs might be more fragile during histological processing than that of the larger human VENs. ... Third, in the major prior study, the number of VENs in humans and great apes was counted in consecutive sections that were apparently spaced at 1 mm intervals ... such a sampling paradigm would likely have been inadequate for the identification of VENs within the small VEN-containing region of the ventral AAI that measures ∼2 × 2 × 1 mm3 in macaques.

The authors pointed out a major advantage of their new discovery, namely that more invasive studies are now possible (i.e., you can't do single cell neurophysiology in dolphins or bonobos).

But wait... are they really VENs?
The morphology, size, laminar distribution, and proportional distribution of the monkey VEN suggest that it is at least a primal anatomical homolog of the human VEN.

Allman, Hof, and colleagues might have something more to say on the matter, based on their earlier findings (e.g., Allman et al., 2011):
The VENs are illustrated at higher magnification in Figure 3, which shows that they have very similar morphology in the great apes and humans. In primates, the VENs are present in FI only in great apes and humans. This is the same taxonomic distribution as was found for the VENs in LA, which suggests that the VENs emerged as a specialized neuron type in the common ancestor of great apes and humans.

Figure 3 (Allman et al., 2011). VENs in area FI of humans and great apes.


The new paper concedes that:
The presence of VENs in the macaque does not discredit prior evidence for a crucial role of the VENs and AIC in the emergence of self-awareness and social cognition in humans (Craig, 2009; Allman et al., 2011). VENs in humans appear to be disproportionally slightly larger than in macaques (see above); they may also have an enhanced immunopositivity (and perhaps gene expression) for proteins that are typically involved in homeostasis, which perhaps favors higher interoceptive sensitivity.
Are they confined to the anterior insula in macaques? No, VENs were also found in the ACC, but that will be reported separately (a lesson for all you junior scientists).

Now that they've been found in monkeys [and can be studied physiologically], will spindle neurons finally catch up with their more glamorous elder cousins, the mirror neurons? Are they really the next new thing? Six years ago, I pondered these points:
Somehow, the "spindle neuron" meme hasn't caught on like the "mirror neuron" meme. Is it because spindle neurons have been only been described anatomically (not physiologically), while the reverse is true for mirror neurons? Anatomically speaking, do we know much about mirror neurons?
Evrard, Forro, and Logothetis are all over it:
...invasive studies of their organization, hodology, and physiology could provide significant insights into the evolutionary basis for self-awareness and empathy in humans. Regarding the latter, it would be particularly interesting to examine whether the VENs share functional similarities with the “mirror” neurons of the ventral premotor cortex (Gallese et al., 2004).

Finally, a commentary in Neuron by Critchley and Seth (2012) wonders if studies of the macaque insula will reveal the neural mechanisms of self-referential processes underlying conscious awareness. If VENs indeed mediate self-referential processing, then they were largely involved in writing this post.


More Reading

Spindle Neurons: The Next New Thing?

Spindle Neurons in Humpback Whales

Spindle Neurons and Frontotemporal Dementia

Spindle Neurons and Science Writing

Spindle Neurons in Elephants and Dolphins: Convergent Evolution in Large-Brained Mammals?


Footnotes

1 The VENs and other large pyramidal cells in cortical layer V are projection neurons that provide output to more distant regions.


References

Allman JM, Tetreault NA, Hakeem AY, Manaye KF, Semendeferi K, Erwin JM, Park S, Goubert V, Hof PR. (2011). The von Economo neurons in the frontoinsular and anterior cingulate cortex. Ann NY Acad Sci. 1225:59-71.

Butti, C., Sherwood, C., Hakeem, A., Allman, J., & Hof, P. (2009). Total number and volume of Von Economo neurons in the cerebral cortex of cetaceans. Journal of Comparative Neurology 515:243-259.

Evrard, H., Forro, T., & Logothetis, N. (2012). Von Economo Neurons in the Anterior Insula of the Macaque Monkey. Neuron, 74 (3), 482-489 DOI: 10.1016/j.neuron.2012.03.003

Hakeem, A., Sherwood, C., Bonar, C., Butti, C., Hof, P., & Allman, J. (2009). Von Economo Neurons in the Elephant Brain. The Anatomical Record: Advances in Integrative Anatomy and Evolutionary Biology 292:242-248.

Hof PR, Van Der Gucht E. (2007). Structure of the cerebral cortex of the humpback whale, Megaptera novaeangliae (Cetacea, Mysticeti, Balaenopteridae). Anatom Rec Part A, 290:1-31.

Nimchinsky EA, Gilissen E, Allman JM, Perl DP, Erwin JM, Hof PR. (1999). A neuronal morphologic type unique to humans and great apes. Proc Natl Acad Sci 96:5268-73.

Subscribe to Post Comments [Atom]

Saturday, May 05, 2012

Neurophysiological Explanation for the Perception of Poltergeists



Poltergeists are defined as paranormal, mischievous ghostly presences that appear to a select group of people. As paranormal entities, they are beyond investigation by rational scientific means. Or are they? Odd sensations, visions, felt presences, out-of-body experiences, etc. have all been explained by unusual brain activity. Hence, neuroscientists should consider that poltergeists exist in the mind of the perceiver, not as a physical reality in the external world.

A new paper by parapsychologist William G. Roll and colleagues reported on the case of a woman who experienced paranormal phenomenon after suffering a head injury (Roll et al., 2012):
People who report objects moving in their presence, unusual sounds, glows around other people, and multiple sensed presences but do not meet the criteria for psychiatric disorders have been shown to exhibit electrical anomalies over the right temporal lobes. This article reports the striking quantitative electroencephalography, sLORETA results, and experimental elicitation of similar subjective experiences in a middle-aged woman who has been distressed by these classic phenomena that began after a head injury. She exhibited a chronic electrical anomaly over the right temporoinsular region. The rotation of a small pinwheel near her while she 'concentrated' upon it was associated with increased coherence between the left and right temporal lobes and concurrent activation of the left prefrontal region. The occurrence of the unusual phenomena and marked 'sadness' was associated with increased geomagnetic activity; she reported a similar mood when these variations were simulated experimentally. Our quantitative measurements suggest people displaying these experiences and possible anomalous energies can be viewed clinically and potentially treated.
Previous work by Roll and Michael ["god helmet"] Persinger (2001) suggested that individuals who experience "anomalous energies" around them might have complex partial epilepsy with a temporal lobe focus, usually on the right side.

The current patient, Ms. S, was in a motor vehicle accident which resulted in two days of coma and a severe brain injury. After the head injury,
...the relationship with her first husband deteriorated because he insisted she was not the same person. This ‘change in personality’ is a frequent report by spouses of individuals who have sustained TBIs. According to her reports one night he tried to kill her. The anomalous phenomena began that night and have been intermittent since that time. Their intensity and frequency have increased during the last 2–3 years. The anomalous phenomena include mechanical, electronic, and visual effects. She reports experiences of sounds, perceived as ‘taps’ that she estimates to be between 3 and 4 Hz with sound pressure equivalents between 40 and 60 db. Occasionally there may be a single louder sound. The durations of clusters are often between 3 and 10 seconds with intervening periods of 4–8 or 16–24 seconds. The clusters are usually localized along her left side.

. . .

Ms. S. reported she feels overwhelmed by a deep sadness after the occurrence of the phenomena and cries, even if nothing ‘bad happens’. Since the beginning of these phenomena she hears voices of multiple ‘imaginary’ friends who she has named; the two major ones are identified as male. They presumably help her minimize the distress of the experiences...

EEG recordings revealed chronically abnormal activity at a right temporal lobe electrode (T4), which showed persistently elevated amplitude. Strangely, this enhanced activity declined when the doors to the recording chamber were closed, as in Fig 1C below.

Figure 1. Sample EEG activity over 19 channels displayed by Ms. S. Note the persistent high amplitude (100 μV) over the right temporal lobe compared to all other lobes (about 20 μV). (A and B) are separated by one day. (C) Shows the attenuation of the T4 anomaly after the doors of an acoustic chamber were closed.


The authors attributed this to a reduction of geomagnetic fields, to which the TBI patient is exquisitely sensitive [supposedly]:
The right temporal lobe anomaly attenuated within about 20 seconds to 1 minute after the doors to the acoustic chamber were closed. In addition to providing above average silence, this procedure reduces the static background geomagnetic field from 50,000 nT to about half that value. When the T4 anomaly was not distinguishable and she was sitting within the closed-door chamber she reported experiences as if she was ‘missing’ something that was similar to a ‘craving’.
But maybe she was just more relaxed in the dim lighting and quiet environment of the chamber...

From here on in, the authors resort to bizarre atmospheric explanations: instabilities in global geomagnetic activity and a K-6 level geomagnetic storm accounted for perceptions of tapping sounds in her hotel bedroom window, the presence of ‘entities’, and unusual lights around objects.

Here's my suggestion: Why don't you take a closer look at her EEG activity in relation to these anomalous perceptions, independent of the spooky magnetic fields?? Is it because your research in parapsychology and neurotheology might float away into the ether?


Footnote

1 The young actress here, Heather O'Rourke, died at the age of 12 due to "medical error."


References

Roll, W. G. and Persinger, M. A. 2001. “Poltergeists and haunts”. In Hauntings and poltergeists: Multidisciplinary perspectives, Edited by: Houran, J. and Lange, R. 123–163. Jefferson, NC: McFarland & Company.

Roll, W., Saroka, K., Mulligan, B., Hunter, M., Dotta, B., Gang, N., Scott, M., St-Pierre, L., & Persinger, M. (2012). Case report: A prototypical experience of ‘poltergeist’ activity, conspicuous quantitative electroencephalographic patterns, and sLORETA profiles – suggestions for intervention. Neurocase, 1-10 DOI: 10.1080/13554794.2011.633532


Subscribe to Post Comments [Atom]

eXTReMe Tracker